“L’invisibilità non è un superpotere”
“La sera che sono finita in ospedale ne ho contate 43. 43 mattonelle. Quando non restavo zitta e rispondevo alle sue offese faceva così, mi prendeva per i capelli e mi sbatteva contro il muro della cucina. Allora io le contavo le mattonelle, per non concentrarmi sul dolore, altrimenti sarei morta. E più non urlavo e più me ne dava”.
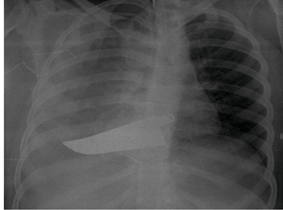
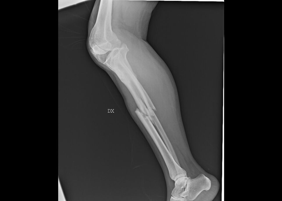
Questa è la storia di una delle protagoniste della mostra “L’invisibilità non è un superpotere”, all’Ospedale San Carlo di Milano dal 21 novembre all′8 dicembre 2019 che, attraverso fotografie e radiografie anonime, racconta il dramma delle donne arrivate nei Pronto Soccorso dichiarando di aver subito violenze, organizzata dall’ASST Santi Paolo e Carlo di Milano e Fondazione Pangea Onlus.
Tra le immagini, oltre alle ossa rotte, si vede un coltello piantato nella schiena.

«Com’eri vestita?»
“Mi lavo continuamente, quasi un’ossessione, ma lo sporco che mi sento addosso, rimane appiccicato dentro la mia anima”.

Questo il racconto di una ragazza vittima di stupro nella mostra «Com’eri vestita?» realizzata dal Centro Antiviolenza Cerchi d’Acqua nella True Art Gallery, a Milano.
Tra i vestiti esposti, si vedono anche il grembiule di scuola elementare di una bambina e un abitino ancora più piccolo.

Non ci sono parole per descrivere il totale senso di rabbia e sconforto nel vedere queste immagini.
E non si può guardare e basta, bisogna agire.
Prevenzione, sensibilizzazione, supporto alle donne e punizioni esemplari, questo è ciò che serve.
Firmate e condividete la nostra petizione: http://bit.ly/2MJwksP
Unite si può!
Ihaveavoice non ha scopo di lucro, aiutaci a sostenere le nostre iniziative con una donazione, anche la più piccola può fare la differenza!
Donare è facile, clicca qui sotto sul pulsante di PayPal!

Lascia un commento